This Week in Dental Implants, we are presenting a nearly 2-year follow up of an augmentation of a buccal ridge deficiency, using the DALI Flex Graft. The results were excellent demonstrating why, in our opinion, the DALI Flex Graft is a perfect choice for this particular type of situation, and a better option than standard particulate graft and a barrier membrane for similar cases. As most clinicians are still not familiar with the DALI Flex graft, we consider it one of the best kept “grafting secrets” in implant dentistry. To view the initial case report, please see: Effectively Addressing Defects around Implants
2-Year Follow-Up
Case Presented By: Dr. Daniel Gober, of Marine Park Perio
(Note: We have included the full case below again, for additional background and information, see Effectively Addressing Defects around Implants)
DALI Flex graft has the ability to stay in position and maintain space well. You can see from the post-operative pictures below, taken 2 years after the procedure, that the ridge contour and the tissue profile are ideal. Clearly, the DALI Flex Graft integrated well into the surrounding bone and tissue in a very healthy, and stable manner.
Initial Case Photos
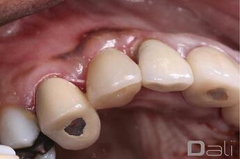
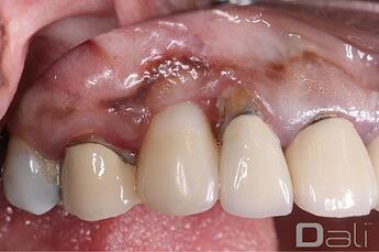
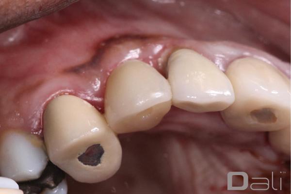
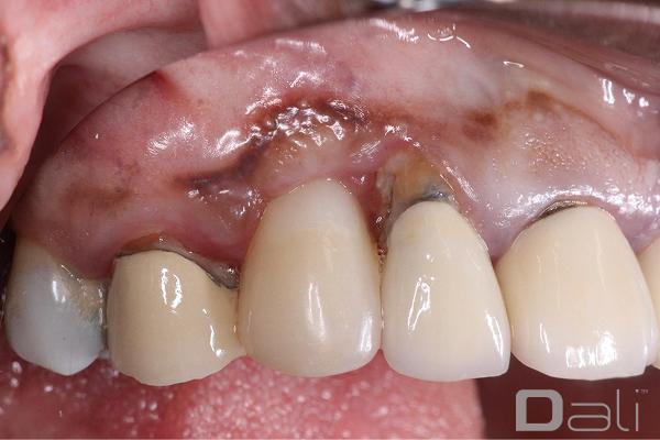
Following a GBR at the time of implant placement, a buccal ridge deficiency persisted. Surgical uncovery of the implant to expose the cover screw revealed successful bone regeneration around the implant, but a residual lack of ridge contour. Instead of using a traditional particulate graft covered with a resorbable membrane, a “flexible bone graft” sheet, DALI Flex Graft, was placed over the buccal plate to augment the buccal contour. Because the graft comes hydrated, it is easy to handle and adapt to the defect location. The flap was then pulled over the graft and adapted around the healing abutment. Following 6 weeks of healing, we see nice healing and an obvious increase in the facial contour.












