This Week in Dental Implants we are covering the Less-Invasive Window Design technique for lateral sinus lifts. A newly released study showed comparable efficacy and safety vs the traditional window design.
Lateral Sinus Lift and the Limitations
When a sinus lift is indicated, clinicians can choose between two approaches: crestal or lateral (see Crestal vs Lateral for Sinus Elevation?). The lateral technique involves creating a lateral antrostomy, carefully raising the sinus membrane, and placing a bone substitute between the membrane and the sinus floor. It has been extensively studied and research suggests that the lateral approach is the preferred approach for sinus lifts. However, the lateral technique comes with some downsides, including, but not limited to higher invasiveness, longer surgical duration, and more postoperative morbidity.
Less-Invasive Window Design as a Solution
To overcome some of the challenges posed by the lateral approach, several modifications have been proposed over the years. One such improvement is the suggestion for a less-invasive window design, whereby a smaller opening is created in the lateral wall of the maxillary sinus. Small window designs are less invasive, preserving more of the lateral wall compared to larger windows. This can help maintain the blood supply to the bone graft and provide better containment of the graft material. Small window designs are also associated with reduced patient morbidity, as they minimize surgical trauma and may decrease postoperative discomfort. The main issue with small windows, is that the larger windows offer better visibility and accessibility, which can be beneficial for managing complications such as membrane perforation or sinus infections. In contrast, small windows may limit visibility and accessibility, potentially complicating the procedure if issues arise.
Study Results: Comparison Between small and large window designs
The choice between small and large window designs may depend on the specific clinical scenario, the surgeon’s experience, and the patient’s preference. However, is the small window design as effective and safe as the traditional design?
A recent study 1 addressed this very question and compared the efficacy and safety of less-lnvasive (LIWD) vs. large window designs (LWD) for lateral sinus lifts. Sixty LSFE (LIWD:30, LWD:30) with simultaneous implant installation were performed in a randomized controlled clinical trial on 60 subjects. The trials results suggested that:
The LIWD provides a feasible, efficient, and safe approach for LSFE with adequate sinus augmentation. Reducing the window size does not increase surgical risks or duration. LIWD showed significantly less discomfort.
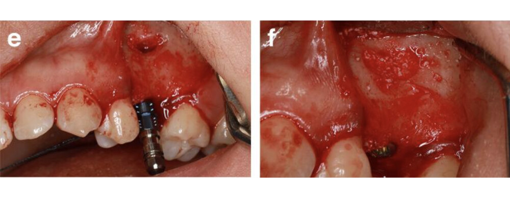
Case Photos: A Less-Invasive Window Design
Case photos below provided by Adawi H, Hengjeerajaras P, Froum SJ, Bagheri Z. A Less-Invasive Window Design for Lateral Wall Maxillary Sinus Augmentations. Int J Periodontics Restorative Dent. 2019 Nov/Dec;39(6):855-861.
Traditional vs Less-Invasive
The LIWD window can be increased in size to improve the accessibility if necessary in cases of sinus membrane perforation repair
The differences between larger windows and the LIWD include window size, preservation of the lateral walls, blood supply to bone grafts, containment of the graft material, visibility, accessibility for repairing membrane perforations, and the ability to drain a sinus infection if needed…The proposed less-invasive window design provides distinct advantages for a successful sinus elevation procedure and decreased patient morbidity.
Case Photos: Small lateral window and one-stage surgery—a 2–5-year retrospective study
Case photos below provided by: Gao S, Jiang Y, Yao Y, Li S, Cai X. Minimally invasive techniques for lateral maxillary sinus floor elevation: small lateral window and one-stage surgery-a 2-5-year retrospective study. Int J Oral Sci. 2023 Jul 11;15(1):28
This study aimed to introduce a minimally invasive technique for maxillary sinus floor elevation using the lateral approach (lSFE) and to determine the factors that influence the stability of the grafted area in the sinus cavity. Thirty patients (30 implants) treated with lSFE using minimally invasive techniques from 2015 to 2019 were included in the study. The schematic diagram of the retrospective study is shown below, and schematic diagram of radiographic assessment is also shown. The duration for all the patients from T1 to T0 was 6 months…lSFE with a small lateral bone window and one-stage surgery has a 100% implant survival rate, limited bone graft resorption, and few influential factors during the approximate 5-year observation period. The present study revealed a strong negative correlation between changes in BH and smoking status, and no influence of RBH was detected. Autogenous bone mixed with DBBM was again demonstrated as one of the most promising candidates for bone graft filling of the sinus cavity.
Radiographic assessment. Lower end of the line represents implant platform, upper end of the line represents uppermost level of the grafted sinus floor. T0: immediately after implant surgery; T1: before second-stage surgery; T2: at the last follow-up visit. BHT0, BHT1, BHT2: BH was measured at T0, T1 and T2 respectively. BH was measured at five aspects of each implant: central (BHC), mesial (BHM), and distal (BHD), buccal (BHB), and palatal (BHP) aspects
Surgery procedures of lSFE with minimally invasive technique and implant placement. a After raising full-thickness flap, small lateral bone window was prepared. b The Schneiderian membrane was then gently elevated. c , d The dimensions of bone window were measured. e An implant was placed immediately. f The space between sinus floor and sinus membrane were grafted with bone graft materials. g Absorbable collagen membrane was used to cover bone window and implant. h Mucosal flaps were carefully sutured
References
- Khiabani K, Amirzade-Iranaq MH, Mostajeran E. Comparative Efficacy and Safety of Less-Invasive vs. Large Window Designs for Lateral Sinus Floor Elevation: A Randomized Clinical Trial. Int J Oral Maxillofac Implants. 2025 Oct 17;0(0):1-28.
- Adawi H, Hengjeerajaras P, Froum SJ, Bagheri Z. A Less-Invasive Window Design for Lateral Wall Maxillary Sinus Augmentations. Int J Periodontics Restorative Dent. 2019 Nov/Dec;39(6):855-861.
- Gao S, Jiang Y, Yao Y, Li S, Cai X. Minimally invasive techniques for lateral maxillary sinus floor elevation: small lateral window and one-stage surgery-a 2-5-year retrospective study. Int J Oral Sci. 2023 Jul 11;15(1):28.
- Baldini N, D’Elia C, Bianco A, Goracci C, de Sanctis M, Ferrari M. Lateral approach for sinus floor elevation: large versus small bone window - a split-mouth randomized clinical trial. Clin Oral Implants Res. 2017 Aug;28(8):974-981.
- Adawi H, Hengjeerajaras P, Froum SJ, Bagheri Z. A Less-Invasive Window Design for Lateral Wall Maxillary Sinus Augmentations. Int J Periodontics Restorative Dent. 2019 Nov/Dec;39(6):855-861.











