Immediate implant placement after an atraumatic extraction is a common procedure nowadays. However, because of the difference in the circumference between the extracted tooth and the implant, a residual gap is often left between the implant and buccal alveolar bone. A common dilemma when left with this gap is whether to graft it or leave it unfilled. The literature seems to suggest that the buccal gap between the socket walls and the implant surface should be filled with graft, as this will preserve the socket volume, minimize socket remodeling, and thus ensure the long-term success of the implant, particularly as it relates to the esthetic outcomes. This Week in Dental Implants, we are showing a case using the OsteoGen strip to graft the gap around implants following extraction and immediate placement. 1,2
Case: Grafting the Gap with Osteogen Strip
Case by: Charles Schlesinger, DDS, FICOI
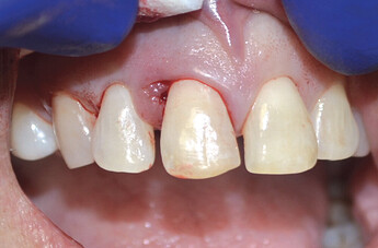
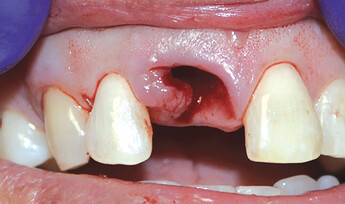
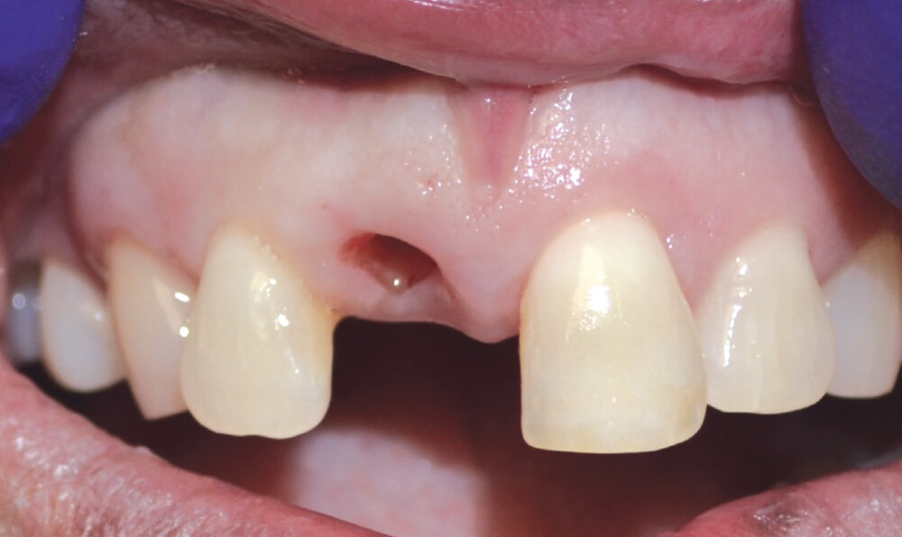
The patient presented with a failing tooth #8. After extraction, the socket shape resembled a triangle. Because of the round shape of the dental implant, there were gaps between the implant body and the alveolus which required grafting.
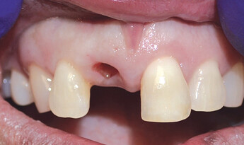
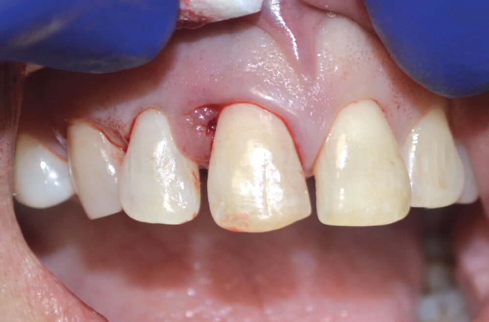
After the tooth was extracted, the site was thoroughly curetted. A pilot drill was used to begin the osteotomy, which was enlarged to the correct size for the implant. Prior to placing the implant, OsteoGen strip alloplast was re-hydrated with sterile saline and then placed in the socket against the wall adjacent to the gap. Hahn™ Tapered Implant (Glidewell Direct; Irvine, Calif.) was driven into place, and the graft material filled the gap. A healing abutment was placed and the site sutured with a Reli® REDISORB® PRO PGA 4-0 suture.
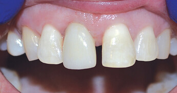
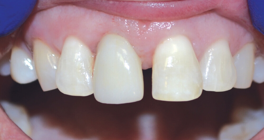
A temporary appliance was delivered and the site allowed to heal. After approximately three months, the healing abutment was removed and stability was checked with a Penguin RFA® A small amount of gingival recontouring was completed with a diode laser, and impressions were taken. The final BruxZir® Esthetic restoration was delivered, and final adjustments were made.
References
- Sanz M, Lindhe J, Alcaraz J, Sanz-Sanchez I, Cecchinato D. The effect of placing a bone replacement graft in the gap at immediately placed implants: a randomized clinical trial. Clin Oral Implants Res. 2017 Aug;28(8):902-910.
In conclusion, the results from this clinical trial demonstrated that placing a DBBM-C bone replacement graft significantly reduced the horizontal bone resorptive changes occurring in the buccal bone after the immediate implantation in fresh extraction sockets.
- Zaki J, Yusuf N, El-Khadem A, Scholten RJPM, Jenniskens K. Efficacy of bone-substitute materials use in immediate dental implant placement: A systematic review and meta-analysis. Clin Implant Dent Relat Res. 2021 Aug;23(4):506-519.
Bone substitute material use during immediate implant placement reduces horizontal buccal bone resorption and improves the periimplant soft‐tissue esthetics.










