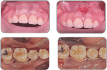
What is AugmaShield?
AugmaShield is a resorbable intraoral wound dressing that attaches to the gum. When sutured on top of a graft, Augma Shield provides an ultimate coverage until soft tissue closes and healing begins.(You can buy AugmaShield at DDSGadget.com.)
AugmaShield: How to Use
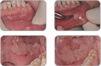
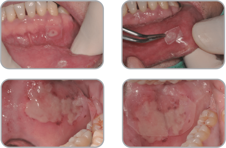
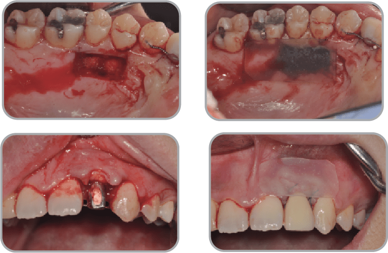
- Irrigate the wound with sterile or saline solution
2. Cut AugmaShield into a proper shape and size. It should be trimmed according to the length of surgical site. (watch our videos for a demonstration of a cutting technique)
3. Slightly remove moisture, and excess saliva with gauze on the wound. Excessive moisture or exudation may reduce the adhesive strength and attachment time of AugmaShield.
4. Remove transparent release paper and apply AugmaShield on the wound.
5. Gently press AugmaShield for 5 to 10 seconds while AugmaShield adheres to wound.
AugmaShield Instructional Video
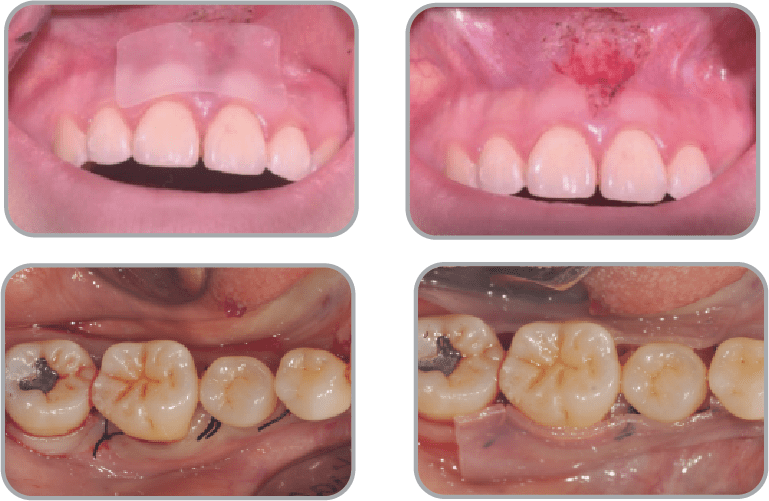
The video below shows how to use AugmaShield with the 3D Bond Plus graft. However, you can use AugmaShield with any graft material and any and all augmentation procedures. It is a great way to protect your extraction sites.
- Protects suture threads from tongue irritation
- Protects intraoral wounds from food, bacteria and other foreign substances.
- Protects bone graft materials and membranes
- Reduces pain and sensitivity
- Prevents damage to the site during initial healing period











